US researchers find gut bacteria that can help lose weight, boost metabolic health
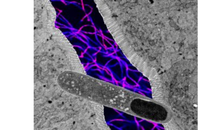
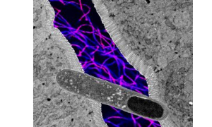
Turicibacter, a rod-shaped bacterium, was found to single-handedly reduce blood sugar, levels of fat in the blood, and weight gain for mice on a high-fat diet.

Representative Image (IANS)
NEW DELHI: US researchers have found a gut bacterium that may help people lose weight and enhance their metabolic health.
This comes amid several weight-loss injections and medications that have proved their ability to help people lose weight.
In studies on mice, the team from the University of Utah found that a specific type of gut bacteria, called Turicibacter, can improve metabolic health and reduce weight gain.
People with obesity tend to have less Turicibacter, suggesting that the microbe may promote healthy weight in humans as well. The results could lead to new ways to control weight by adjusting gut bacteria, said the team, in the paper published in the journal Cell Metabolism.
Turicibacter, a rod-shaped bacterium, was found to single-handedly reduce blood sugar, levels of fat in the blood, and weight gain for mice on a high-fat diet.
Turicibacter’s effects are unlikely to be unique; many different gut bacteria probably contribute to metabolic health. And results based on animal models may not apply to people.
“We have improved weight gain in mice, but I have no idea if this is actually true in humans,” Round said.
But the researchers remain hopeful that Turicibacter could provide a starting point for developing treatments that promote healthy metabolism and prevent excessive weight gain.
Turicibacter appears to improve metabolic health by affecting how the host produces a fatty molecule called ceramides, the researchers found.
Ceramide levels increase on a high-fat diet, and high levels of ceramides are associated with many metabolic disorders, including type 2 diabetes and heart disease. But the fats produced by Turicibacter can keep ceramide levels low, even for mice on a high-fat diet.
“With further investigation of individual microbes, we will be able to make microbes into medicine and find bacteria that are safe to create a consortium of different bugs that people with different diseases might be lacking,” said first author Kendra Klag from the varsity.

